开云体育app官方最新版 腹黑的“间谍”动作: 揭秘腹黑核素显像旨趣

如若把腹黑比作主说念主体的“发动机”,冠状动脉便是为这台发动机运输燃油的“输油管”。当输油管出现狭隘或堵塞时,发动机的部分区域就会因“断油”而责任极端——这便是冠心病。那么,有莫得一种本领,能像给发动机装置“流量计”雷同,直不雅地看到腹黑各个区域的血液供应情况呢?腹黑核素显像恰是这么一种神奇的器具。

一、中枢旨趣:给心肌细胞拍一张“吃饭”的相片
腹黑核素显像,又安静肌灌输显像(Myocardial Perfusion Imaging, MPI),其基原意趣不错详细为一句话:肤浅或有功能的心肌细胞会袭取性地接纳某些放射性药物,其接纳量与局部心肌的血流量成正比。
1. 示踪剂:带着“信号弹”的养分物资
查验时,医师融会过静脉向患者体内注入一种微量的放射性物资,称为示踪剂或显像剂。这些示踪剂常常是某些能被心肌细胞特异性接纳的离子或化合物,如国内常用的锝-99m标记的甲氧基异丁基异腈(⁹⁹ᵐTc-MIBI)或铊-201。它们就像一个个带着微弱“信号弹”的养分物资,跟着血流过问冠状动脉,并通过被迫迷漫的形式穿过细胞膜,最终淹留在具有好意思满线粒体的活性心肌细胞中。
2. 伽马相机:捕捉“信号弹”的捕快
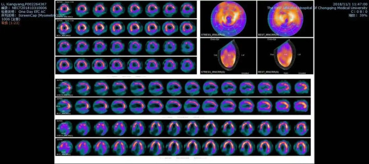
示踪剂在心肌细胞内会不停开释微量的γ射线(一种高能电磁波)。此时,一台精密的探伤诞生——伽马相机(如SPECT,即单光子辐射筹划机断层成像仪)会像捕快雷同,从不同角度围绕患者胸部捕捉这些从腹黑里面发出的“信号弹”。筹划机收罗信号后,经由复杂的运算和重建,最毕生成一幅幅澄澈的腹黑断层图像。
3. 图像解读:“亮”与“暗”的奥密
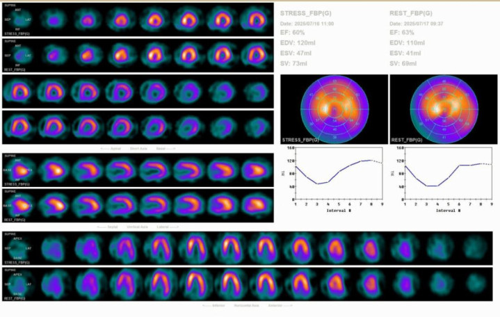
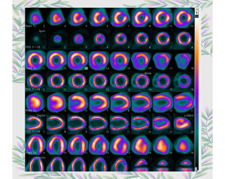
在最终的图像上,血流丰富、功能肤浅的心肌细胞因为接纳了多数示踪剂,会呈现亮堂的红色或黄色;而缺血或坏死的心肌,由于血流量减少或细胞失去活性,无法肤浅接纳示踪剂,则会施展为阴沉的蓝色或玄色区域。医师恰是通过分析这些图像上“亮”与“暗”的散布,来判断心肌缺血的部位、限制和严重进度。

二、静息与负荷:让“隐形”缺血现原形
冠脉血管具有巨大的储备功能。当冠脉狭隘进度在50%-80%时,通过自己颐养,静息景况下的心肌血流量仍可保管肤浅。这意味着,如若只在患者沉静时进行查验,好多有病变的冠脉供血区域可能炫耀为“肤浅”,从而形成漏诊。为了科罚这个问题,临床上引入了负荷心肌灌输显像。
1. 静息显像:休息景况下的基础评估
患者在沉静景况下打针示踪剂并进行扫描,反应的是基础景况下的心肌血供。
2. 负荷显像:让腹黑“跑起来”再查验
负荷显像又分为通顺负荷和药物负荷两种。
· 通顺负荷:让患者在特制的踏车或平板上通顺,逐渐加多腹黑负荷和耗氧量。
· 药物负荷:关于无法通顺的患者,则静脉打针腺苷、双嘧达莫等药物,开云体育app模拟通顺景况,使肤浅冠脉彭胀,血流量加多3-5倍。
当腹黑“加班”时,肤浅冠脉供血区域的血流会显耀加多,示踪剂接纳也相应增多,图像上显得更亮;而有狭隘的病变冠脉,由于其彭胀材干有限,血流量无法相应加多,导致该区域的心肌相对“缺血”,示踪剂接纳减少,图像上就会出现阴沉的稀少或缺损区。

三、图像对比:会诊冠心病的“金圭表”
通过对比负荷显像与静息显像的图像,医师不错对冠脉病变作念出精确判断:
· 可逆性缺损:负荷显像时出现缺损,但静息显像时规复肤浅。这辅导该区域心肌存在由冠脉狭隘引起的心肌缺血,是血运重建(如支架植入)的主要合乎证。
· 不成逆性缺损:无论在负荷照旧静息景况下,统一部位均施展为固定缺损。这常常意味着该处心肌依然坏死或形成瘢痕组织(如腐臭性心肌梗死)。
· 混杂性缺损:缺损区在静息时部分规复。辅导在梗死或严重缺血区域的周围,可能存在部分存活的心肌(蛰伏心肌)。

四、本领上风:功能与分子水平的“侦察兵”
与CT、磁共振等主要不雅察腹黑结构的影像本领不同,核素显像是一种典型的功能影像学查验。它不仅能看“形”,更能察“质”,径直反应心肌细胞的血流灌输和活性。它在临床上应用平庸,主要用于:
· 冠心病会诊:关于原因不解的胸痛,或心电图查验难以确诊的可疑冠心病患者,具有极高的会诊价值。
· 危急分层与预后评估:凭证心肌缺血的限制和进度,瞻望患者未来发生腹黑事件的风险。
· 心肌活力评估:辩认“蛰伏心肌”与坏松手肌,指引临床医师判断是否需要进行支架或搭桥手术。
· 疗效评价:评估药物养息、支架植入或搭桥术后的心肌血供改善情况。

五、安全性与提防事项
好多东说念主对“核素”心存费心。实质上,查验所用的放射性示踪剂剂量格外小,其辐射领略量常常低于一次胸部CT查验,且会在数小时至数天内通过尿液和粪便十足排出体外,对东说念主体是安全的。查验前后需提防:
· 查验前:常常需空心4-6小时;查验本日幸免饮用咖啡、浓茶等含咖啡因的饮品;需遵医嘱停用某些腹黑药物(如β受体阻难剂)。
客服QQ:88888888· 查验后:多喝水以加快示踪剂排泄;查验后24小时内幸免与妊妇及婴幼儿密切搏斗。

结语
腹黑核素显像,通过让活性心肌细胞“吃”进微量的放射性示踪剂,再诓骗精密的探伤器从体外“监听”信号,奥密地终澄澈对腹黑血流灌输和细胞功能的在体、无创评估。它就像一位深刻东说念主体里面的“间谍”,精确地捕捉着心肌缺血的蛛丝马迹,为冠心病的早期会诊、养息有议论和预后判断提供了无可替代的分子影像学依据,确凿成为了看管腹黑健康的“明察其奸”。

备案号: